Defeza & Seguransa3 years ago
Vítima Ne’ebé Hetan Sona iha Área Ponte Habibie Seidauk Fó Informasaun bá Polísia
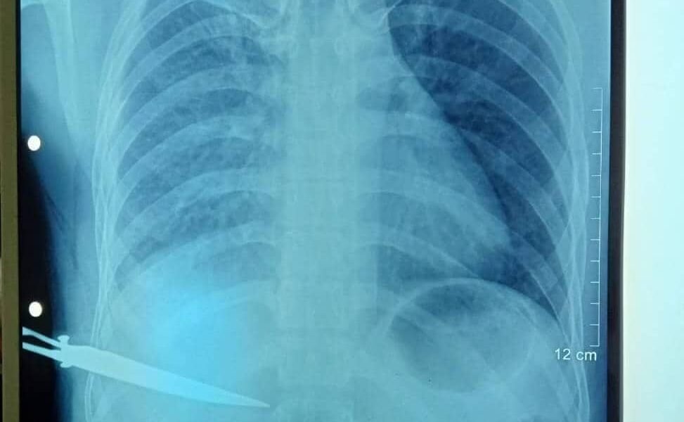
Hatutan.com, (09 Janeiru 2023), Díli—Kazu insidente sona kanek vítima iha área Bidau, besik Ponte BJ Habibie iha Sábadu (07/01/2023), to’o oras-ne’e seidauk bele fó ninia deklarasaun...